Тайны человеческого мозга
Принято считать, что мозг получает информацию из окружающего мира, перерабатывает ее и принимает те или иные решения. По мнению некоторых ученых, мозг может хранить до 15 триллионов разных данных.
Но есть исследователи, которые не уверены в том, что информация действительно хранится в мозгу, а также и в том, что именно он управляет нашими поступками.
В результате несчастного случая четырнадцатилетний Ахад Исрафил лишился значительной части своего головного мозга. Впоследствии ему сделали силиконовый протез, скрывший этот недостаток.
С тех пор Ахад ведет жизни, практически не отличающуюся от жизни его сверстников, передвигающихся в инвалидных креслах.

Мыслящей материи не существует?
На XVI Всемирном философском конгрессе, проходившем в 1978 году в Дюссельдорфе, собрались более 1,5 тысяч ученых из 60 стран мира. Выступая на нем, австралийский нейрофизиолог, лауреат Нобелевской премии по физиологии и медицине в 1963 году, Эклс Джон Кэрью предложил гипотезу, согласно которой механизмы деятельности мозга приводит в действие некий «психический принцип», находящийся вне человека. На первый взгляд, подобное предположение звучит странно, противоречит здравому смыслу и накопленному человечеством опыту. Но, вероятно, у известного ученого были основания для подобного утверждения…
Оказывается, были! И не у него одного возникла подобная гипотеза об иных, нежели принято думать, функциях мозга. Еще в книге «О духе, душе и теле», крупнейшего ученого, хирурга, доктора медицинских наук, профессора Валентина Феликсовича Войно-Ясенецкого (1877-1961 гг.) были такие слова: «Душа выступает за пределы мозга, определяя его деятельность и все наше бытие… Мозг работает как коммутатор, принимая сигналы и передавая их абонентам».
Гипотезу о том, что сознание существует независимо от мозга, отстаивают и современные голландские физиологи под руководством Пима ван Ломмеля, заявившего, кстати, что мыслящей материи, возможно, вообще не существует. Такой же точки зрения придерживаются и некоторые английские ученые Сэм Парния из Центральной клиник Саутгемптона и Питер Фенвик из Лондонского института психиатрии. По мнению Парния, мозг, как и любой другой орган человеческого тела, состоит из клеток и не способен мыслить. Он работает как устройство, обнаруживающее мысли!
В медицинской литературе описано много случаев, когда человеке поврежденным мозгом продолжал жить как ни в чем не бывало. Врачи были не в состоянии объяснить такие случаи. Однако если приведенная выше гипотеза верна, все становится на свои места.
Излишки – долой!
В 1957 году в Американской ассоциации психологов был заслушан доклад доктора Яна В. Брюэля и Джорджа В. Олби, проведших операцию по удалению пациенту правой половины головного мозга. К великому изумлению врачей, прооперированный мужчина 39 лет быстро поправился и не утратилсвоих умственных способностей.
Врачи Гоулд и Пайл в своем монументальном труде «Аномалии и курьезы медицины» описали пациента, у которого в результате удаления опухоли в мозгу образовалась впадина длиной около 11 сантиметров. При этом он оставался в полном сознании до самой смерти.
В медицинском вестнике Нью-Йорка за 1888 год описан случай, происшедший с матросом, голова которого оказалась между нижним ярусом арки моста и надпалубной надстройкой лодки. Острый мостовой брус срезал верхнюю часть черепа несчастного, потерявшего примерно четверть головы. Хирурги, в руки которых пострадавший попал через несколько часов, установили, что срез чистый, как будто выполнен медицинской пилой. Они трудились уже больше часа, чтобы закрыть ужасную рану, как вдруг раненый открыл глаза и спросил, что с ним произошло. Когда на его голову наложили повязку, матрос сел, а потом, пользуясь замешательством ошарашенных врачей, встал на ноги и начал одеваться.
Уже через два месяца он вернулся к работе на своей лодке и много лет жаловался разве что на легкие головокружения. Через 26 лет у него, правда, появилась некоторая неровность в походке. Потом частично парализовало левую руку и ногу. Вновь он попал в больницу в 1887 году – через 30 лет после несчастного случая. В его истории болезни записано, что у пациента развилась тенденция к истерии. И это при том, что человек жил, лишившись верхней четверти мозга!
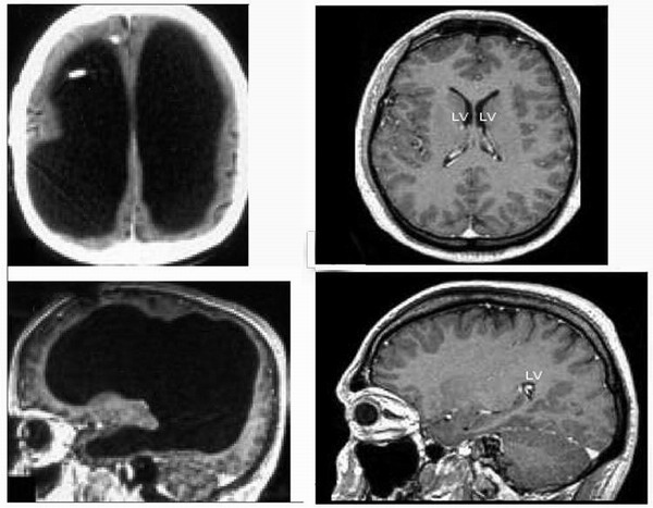
У 44-летнего француза почти исчез мозг
Французские врачи, сделавшие компьютерную и магнитно-резонансную томографию одному из пациентов, обнаружили, что большую часть полости черепной коробки занимают раздувшиеся от жидкости желудочки головного мозга, а сам мозг превратился в узкую полоску.

В голове сорокачетырехлетнего клерка из Марселя почти не оказалось мозгов: все темное пространство на фотографиях слева занято жидкостью. Для сравнения справа показан типичный человеческих мозг в тех же проекциях
44-летний мужчина обратился к врачам после того, как у него стала слабеть и плохо функционировать левая нога. Отмечается, что до этого он вел совершенно нормальное существование, работал на госслужбе, имел семью и двоих детей. Его IQ составлял 75 пунктов, ниже среднестатистических показателей в 100 пунктов, однако он не считался умственно отсталым. Подняв историю болезни, врачи обнаружили, что еще в детстве пациент страдал гидроцефалией – водянкой головного мозга. Ему был имплантирован внешний дренаж.
Однако, когда ему исполнилось 14 лет, дренаж почему-то сняли. Между тем ликвор продолжал накапливаться в боковых желудочках, постепенно оттесняя и сдавливая мозг. По словам врачей, они были удивлены, как человек многие годы мог спокойно существовать с диагнозом, практически несовместимым с жизнью. Обычно водянка ведет к повышению внутричерепного давления, которое сдавливает капилляры мозга, нарушению кровообращения и постепенной атрофии нервной ткани и как следствие к нарушению зрительных и двигательных функций. Однако, как предполагают медики, из-за того, что процесс расширения желудочков мозга указанного пациента проходил достаточно медленно, может быть на протяжении нескольких десятилетий, функции поврежденных областей мозга перешли к другим участкам.
Хоть кол на голове теши
В анналы музея медицинского колледжа в Массачусетсе занесен случай, произошедший 13 сентября 1847 года с мастером железнодорожного участка Рутланд – Берлингтон. 25-летний Файниз Гейдж закладывал в шпур взрывчатку, подготавливая взрыв. Наклонившись над шпуром, он утрамбовывал ее железным прутом, который был заострен сверху, имел длину 90, а диаметр 3,3 сантиметра и весил чуть меньше четырех килограммов. При ударе о камень прут высек искру, произошел взрыв. Железный прут выскочил из шпура, ударил Гейджа в скулу, насквозь прошил голову и остался в ней. Голова оказалась как бы нанизанной на прут. Удар был такой силы, что левый глаз несчастного вылез из глазницы. Взрыв отбросил Гейджа на четыре шага в сторону, и он на несколько минут потерял сознание. Товарищи доставили его к врачу, и тут произошло нечто вовсе невероятное. Прибыв на место, пострадавший отказался от помощи сопровождавших и сам двинулся в приемную врача, к которой надо было идти по длинной лестнице.
Вынимая железный прут из головы Гейджа, хирург удалил ему часть мозга и черепной коробки. Надежды на благополучный исход почти не было, и все же через десять часов Гейдж пришел в сознание. Он ослеп на левый глаз, но поправился и прожил еще много лет,
изумляя светил науки, полагавших, что уцелеть после подобной травмы и тем более сохранить свои умственные способности просто невозможно.
Нечто подобное, впрочем, случилось еще в 1879 году, когда в механизм мельницы попал большой болт и, выскочив оттуда, угодил в лоб находившейся рядом женщины. Он пробил череп, вмял кусочки кости в мозг и засел в мозгу на глубине десяти сантиметров. В результате несчастного случая и проведенной для извлечения болта операции пострадавшая потеряла часть мозга и все же выжила. Спустя два года врачи признали ее абсолютно здоровой. После этого женщина прожила еще 42 года.
А может быть, биороботы?
Пожалуй, самыми убедительными доказательствами того, что мозг выполняет не те функции, которые ему приписывают, являются следующие истории.
В 1940 году доктор Августин Итуррича сделал сенсационный доклад в Антропологическом обществе г. Сукре (Боливия). Доклад касался 14-летнего пациента клиники доктора Ортиза, который находился в ней с диагнозом опухоль мозга. Мальчик был в сознании и здравом уме до самой смерти, однако жаловался на сильные головные боли.
Когда врачи произвели вскрытие, удивлению их не было предела – мозговая масса была почти полностью отделена от внутренней полости черепной коробки. Огромный нарыв захватил мозжечок и часть головного мозга, так что было совершенно непонятно, чем же мальчик думал.
Еще более странное открытие сделал немецкий профессор Хуфланд, вскрыв черепную коробку разбитого параличом мужчины. Больной до последней минуты сохранял свои умственные способности, а между тем вместо мозга у него в черепной коробке оказалось…330 граммов воды.
А в госпитале Святого Винсента в Нью-Йорке в 1935 году на свет появился ребенок, который 27 дней жил, ел и плакал, как все новорожденные. Он вел себя совершенно нормально, и лишь в результате проведенного после смерти вскрытия выяснилось, что у него вообще не было мозга!
Разумеется, все эти случаи можно назвать парадоксальными отклонениями от нормы и на том успокоиться, вернувшись к традиционным представлениям о работе нашего мозга. Однако даже самый уникальный и феноменальный автомобиль не может функционировать без мотора, а компьютер – без винчестера. Стало быть, либо наши представления о человеческом мозге в корне не верны, либо среди нас бродят биороботы инопланетного происхождения, препарирование черепных коробок которых и вводит земных ученых в заблуждение.